cover_image

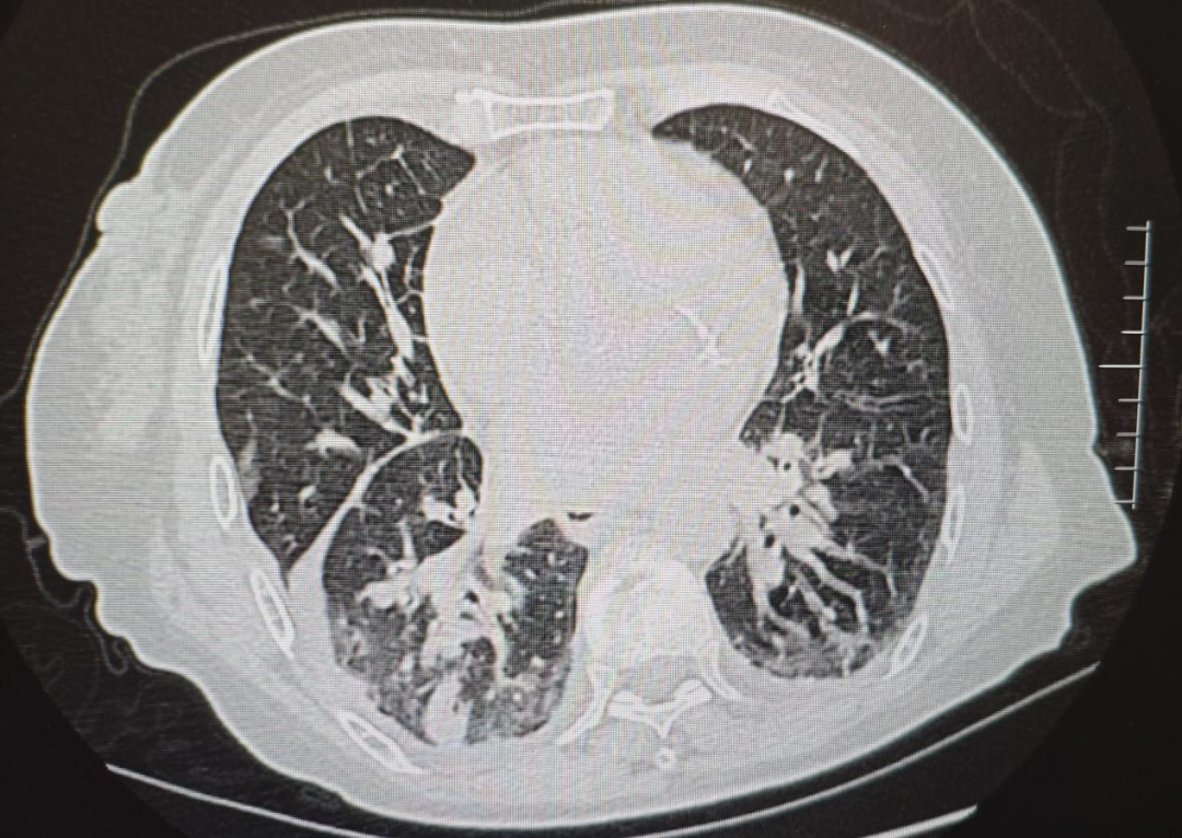
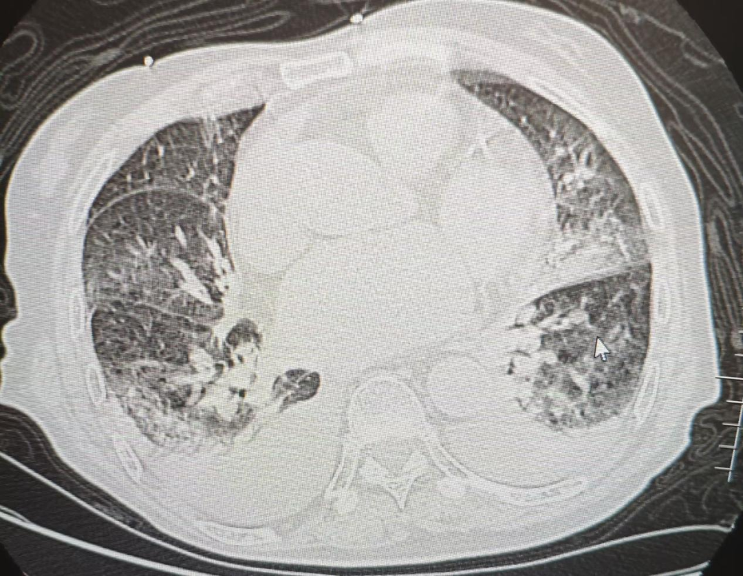
速看!流感暗箭——解码隐匿的致命连击

感染性疾病科 上饶市人民医院
继续滑动看下一个
上饶市人民医院
向上滑动看下一个
Baidu
map